Chirurgia di revisione della protesi d’anca
Mi sono sempre occupato di chirurgia di revisione della protesi d’anca. Dapprima aiutando il mio maestro il Prof. Giunti, poi intervenendo in autonomia.
Dal 2011 al 2017 ho diretto all’istituto Rizzoli il modulo Dipartimentale di chirurgia di revisione dell’anca. (CRA)
La chirurgia di revisione della protesi d’anca (riprotesizzazione) è un intervento di alta complessità volto a sostituire parzialmente o totalmente un impianto precedentemente inserito che è fallito.
Clinicamente il fallimento della protesi può manifestarsi con dolore, limitazione funzionale, difficoltà deambulatoria, instabilità.
Il paziente che deve subire un reintervento di revisione vive uno stato emotivo estremamente pesante e se entro certi limiti può accettare il fallimento protesico dopo molti anni dall’intervento primario, assai più complicato accettare il fallimento dell’impianto e il conseguente reintervento dopo pochi anni o mesi.
Cause di fallimento della protesi
- Mobilizzazione asettica: Scarsa integrazione tra osso e impianto o progressivo allentamento delle componenti senza infezione.
- Usura dei materiali: Il logoramento delle superfici (es. polietilene) può causare osteolisi (distruzione dell’osso circostante) dovuta a una reazione infiammatoria ai detriti da usura.
- Infezione periprotesica: Una delle complicanze più gravi che spesso richiede un approccio in due tempi (rimozione, bonifica con spaziatore antibiotico e successivo reimpianto).
- Instabilità e lussazione: Spostamento delle componenti che porta alla fuoriuscita della testa femorale dalla coppa acetabolare.
- Fratture periprotesiche: Rotture dell’osso vicino all’impianto, spesso conseguenti a traumi o cadute.
Difficoltà e Complessità dell’intervento
A differenza dell’impianto primario, la revisione presenta sfide tecniche significative:
- Qualità e quantità dell’osso: La rimozione del vecchio impianto e l’osteolisi periprotesica spesso causano gravi difetti ossei, rendendo difficile la stabilità primaria del nuovo impianto.
- Tessuti cicatriziali: La presenza di cicatrici da interventi precedenti altera l’anatomia e aumenta il rischio di complicanze vascolo-nervose.
- Pianificazione complessa: Richiede uno studio pre-operatorio accurato con esami di secondo livello come la TC per valutare l’integrità ossea.
- Tempi e Rischi: L’intervento è più lungo, comporta maggiori perdite ematiche e un rischio di infezione e lussazione superiore rispetto alla chirurgia primaria.
Nella chirurgia di revisione, la ricostruzione dell’osso è la sfida principale. Quando l’osso originario è danneggiato o assente a causa dell’osteolisi, il chirurgo deve ricorrere a tecniche avanzate per ripristinare il supporto meccanico e biologico.
In molti casi è necessario l’utilizzo di protesi speciali (da revisione), innesti ossei o sistemi di ricostruzione modulari per sopperire alla perdita di tessuto.
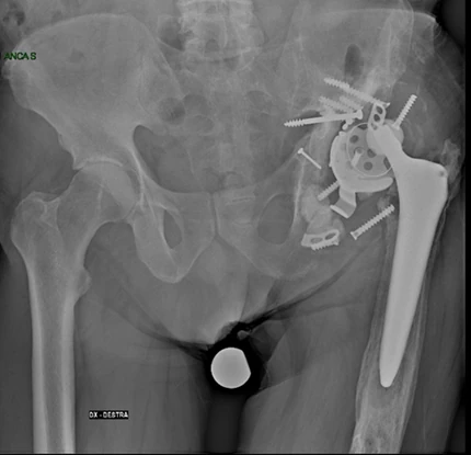
A tale proposito ho sviluppato in collaborazione con Medacta, nota e azienda Svizzera molto attiva in campo ortopedico e aperta alle innovazioni tecnologiche, un nuovo impianto specifico per la chirurgia di revisione acetabolare progettato per affrontare i casi più complessi di difetto osseo sfruttando per la stabilità meccanica l’osso iliaco.
Caratteristiche distintive del cotile Mpact Ilac Screw e perché viene scelto in casi difficili:
1. Design e Modularità
È un sistema non cementato che punta sulla stabilità meccanica immediata e sulla rigenerazione biologica a lungo termine:
- Forma emisferica: consente la correzione di inclinazione ed antiversione
- Vite Polare: è l’innovazione tecnologica peculiare che consente di massimizzare la stabilità primaria ancorandosi saldamente entro l’osso iliaco solitamente presente anche nei casi più gravi di difetto osseo.

2. Indicazioni Specifiche
Il Cotile Mpact Ilac Screw viene impiegato quando il normale “alloggio” dell’anca è compromesso da:
- Mobilizzazione della vecchia protesi che ha “scavato” o distrutto parte del bacino.
- Difetti ossei gravi (classificati come Paprosky II o III) e disgiunzione pelvica
- Esiti di traumi complessi o displasie congenite che alterano l’anatomia standard.
3. Stabilità iliaca
- Concetto vecchio, disegno moderna: La vite iliaca funge da vero e proprio “pilastro”, trasferendo il carico meccanico direttamente nella colonna posteriore/superiore del bacino, entro l’osso iliaco, bypassando le zone di osteolisi e il difetto cavitario/segmentario dell’acetabolo.

In sintesi, il cotile Mpact Ilac Screw è un cotile innovativo che permette di “ricostruire” l’articolazione anche in presenza di ampi difetti ossei evitando il ricorso a protesi custom-made o altri impianti molto più complessi e costosi.
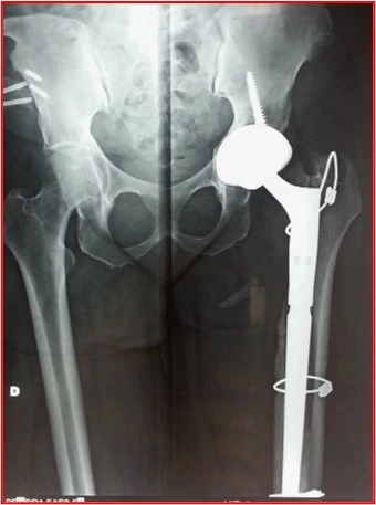
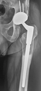
Tecniche di Ricostruzione Femorale
Per il femore, la stabilità si ottiene cercando l’ancoraggio distale dove l’osso è ancora solido:
- Steli da Revisione Modulari: Protesi composte da più componenti che il chirurgo assembla “su misura” durante l’intervento per adattarsi alla forma residua del femore.
- Ancoraggio Distale: Se la parte superiore del femore è riassorbita e troppo fragile, si utilizzano steli lunghi conici che si avvalgono e sfruttano la stabilità conico-diafisaria distale.
Revisione protesi anca (FAQ)
Quando compaiono dolore persistente, instabilità, difficoltà a camminare o segni radiografici di fallimento dell’impianto.
Sì, è tecnicamente più complessa perché spesso l’osso è ridotto e l’anatomia alterata da interventi precedenti.
Dipende dal caso, ma generalmente più a lungo rispetto all’impianto primario, soprattutto nei casi complessi.
Il recupero è possibile ma può essere più lento e richiede una riabilitazione più attenta.
Infezione, lussazione, allentamento e difficoltà di integrazione dell’impianto, più frequenti rispetto alla chirurgia primaria.






